cerec-same-day-crowns-restore-your-smile

Restore Your Smile in One Appointment With CEREC® Crowns

Getting a new dental crown used to be a time-consuming, inconvenient procedure. The impression of the tooth required an uncomfortable mold patients needed to endure that was sent to a dental lab. A temporary crown needed to be bonded to the tooth during the week or two needed to receive the permanent crown. But with state-of-the-art technology from Sirona, the CEREC system allows our dentists to create high-quality, all-ceramic dental crowns, as well as bridges and veneers, in a single visit.

Benefits of Same Day Dental Crowns

Most of our patients are busy and have better things to do than spend unnecessary time in our office. With CEREC dental crowns, we can eliminate a second appointment a week or two down the road to remove a temporary crown and add a permanent crown. CEREC crowns save time and money, both for us and our patients. Some of the other benefits of same day CEREC dental crowns include:
cerec-same-day-crowns-video-poster
  • Avoid the inconvenience and poor fit of a temporary crown or bridge
  • No messy mold for tooth impressions – we use 3D imaging to create your tooth impression
  • No more temporary crown problems like sensitivity or falling out
  • It only takes one visit to get a beautiful new crown the same day
  • Changes to the crown can be made the same day to ensure it fits properly

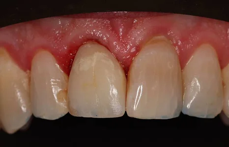
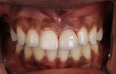
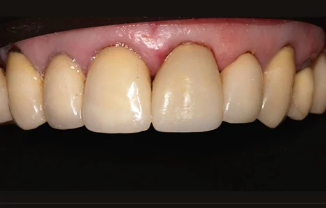
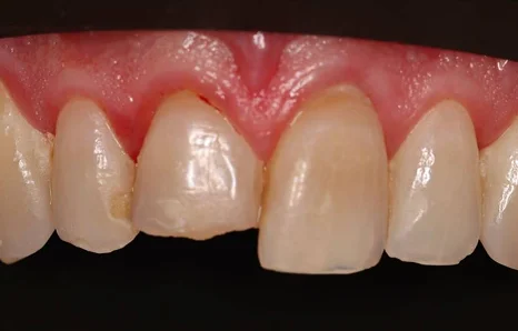
Smile Transformations

Image
BEFORE
AFTER
Image
Image
BEFORE
AFTER
Image
Image
BEFORE
AFTER
Image

Frequently Asked Questions

New Patients & Emergency Appointments Welcome!