100 S University Blvd. Mobile, AL 36608

Veneers for Stains, Gaps & Uneven Teeth
Cosmetic Dental Veneers
At Hollon & Taylor Dental, we use porcelain veneers for transforming our patient’s smiles. These veneers are made from extremely thin porcelain shells that are customized to fit the patient’s teeth and create the desired appearance. We use our advanced digital imaging to create 3D digital impressions of the teeth and software to design a smile to meet the patient’s expectations. Our cosmetic dentist can show the patient what their new smile will look like before we create the veneers and finish the process.
Most veneer procedures require two visits – one to create the design of the veneers and a second to attach the veneers once they come back from the dental lab. At Hollon & Taylor Dental, we offer same day veneers with our CEREC technology. We can design and create the veneers right at our office in Mobile, AL, completing your smile makeover the same day you come in.
Porcelain veneers can hide almost any cosmetic dental flaws and give you a perfect smile. If you are interested in learning more about a smile makeover with cosmetic dental veneers, contact us at Hollon & Taylor Dental to schedule a consultation with one of our cosmetic dentists.
Smile Transformations

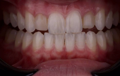
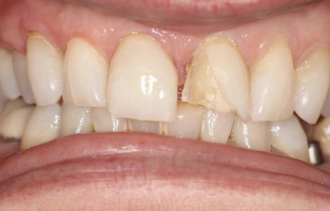
BEFORE
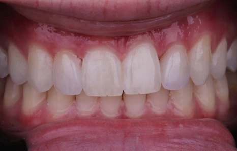
AFTER


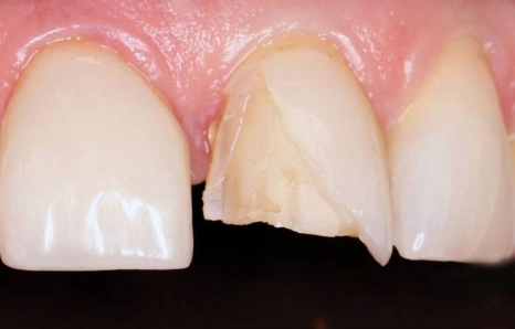
BEFORE
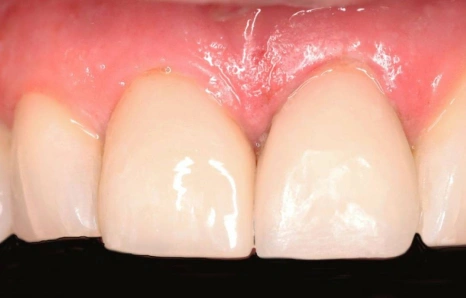
AFTER


BEFORE
AFTER


BEFORE
AFTER
